神戸・大阪・三ノ宮のインビザライン矯正|目立たないマウスピース矯正
Mirai
治療費
(プランにより変動)
月額3,000円〜
の分割可
平均
治療期間
3ヶ月〜11ヶ月〜
※個人差あり
![]()
初診料0円
(一部医院は有料)
![]()
調整料0円(※1)
(※1:治療費に含まれる)
相談費用
毎月の調整費
治療後の保定管理料

円
![]()
![]()
米国アライン社
インビザライン・ジャパン
公認講師
![]()
通算矯正治療症例数
件以上

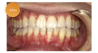
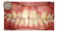
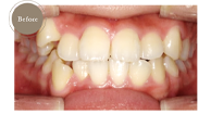
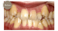
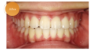
前歯部が前後バラバラに噛んでいる
叢生の矯正治療症例
マウスピース矯正
マウスピース型矯正装置(インビザライン)を取り扱っています。
透明で目立ちにくく取り外しができる装置です。
目立たず手入れも楽
ワイヤー矯正
歯の表側に装着するワイヤー矯正。
抜歯せずに歯を広げる矯正や機能矯正にも対応
難症例にも対応
As far as Possible
痛みを
抑えた矯正
当院では綿密に矯正の力をコントロールし、できるだけ痛みを抑えます

短期で
終わる矯正
骨や歯の周囲組織の活性を高めるPBMや補助器具を使用し矯正期間を短くします

抜歯を
しない矯正
当院では不要な抜歯はせず、非抜歯でおこなえる矯正は歯を抜かずに実施します

マウスピース矯正
(インビザライン)とは
豊富な実績を持つインビザラインで
理想の歯並びを手に入れましょう
歯並びを整えるために、毎日マウスピースを装着し、歯を少しずつ動かしていく治療方法をマウスピース矯正といいます。東京銀座の矯正歯科「東京銀座A CLINIC デンタル」では、世界的に多くの臨床実績を有するインビザラインのマウスピースを採用しています。幅広い症例に対応できることに加え、無色透明で装着時に目立ちにくい点も大きな特長です。審美性と機能性の両立を重視した矯正歯科治療をご提供しています。
目立ちにくい
マウスピースは透明かつ無色であるため、装着時は目立ちにくく、気付かれることはほぼありません。見た目を気にされる方におすすめです。
装置の取り外し可能
ご自身でマウスピースの脱着が可能であるため、歯みがきの際に手入れがしやすい特徴があります。食事も安心して楽しむことができます。
費用が高くなりすぎない
マウスピース矯正の治療費用は、ワイヤー矯正と大きな価格差がありません。一般的な矯正歯科治療費用の範囲内で済むことがほとんどです。
短期間で治療ができる
マウスピース矯正の中には、部分的に歯並びを改善する方法もあり、全顎矯正と比較して治療期間は短くなりますので、患者さん負担も軽くなります。
ワイヤー矯正に比べて
痛みや違和感が少ない
マウスピース矯正は歯が動くスピードが緩く、その分痛みが生じにくい特徴があります。表面が滑らかであるため、装着時の違和感も生じにくいです。
ワイヤー矯正に比べて
通院回数が少ない
ワイヤー矯正が約1ヶ月に一度通院が必要であることに対し、マウスピース矯正は2ヶ月に一度の通院でよい場合が多く、患者さんの負担が少ない方法と言えます。
![]()
Question?
![]()
本当にわたしも矯正で治る?
![]()
気になる前歯だけ矯正したい
![]()
他院で抜歯が必要と言われた
Answer![]()
![]()
あなたも矯正で治りますよ
![]()
大丈夫!部分矯正も対応OK
![]()
非抜歯でも矯正できるかも!

マウスピース矯正/ワイヤー矯正の
山崎圭一 著
マウスピース矯正ってどう?


1.
3年かかることも珍しくない矯正治療。アルファー歯科なら約1年半〜2年以内の、短期間での矯正が可能
![]()
平均1年半〜2年以内の短期治療
![]()
高価な光加速装置PBMも無料提供
![]()
思春期のお子さまに最適
※条件あり(お問い合わせください)
REASON I
詳しくみる
2.
当院では診断用のデジタル機器を導入し、現状を精密に撮影。事前シミュレーターで理想形を事前に創造します
![]()
口腔内スキャナー/CTを活用
![]()
3Dシミュレーションソフト
REASON II
詳しくみる
3.
当院のワイヤー矯正は通常の金属ではなく、目立ちにくい白いブラケットを使用しています
![]()
白いブラケットで目立たない
![]()
・痛みが少ない弱力矯正にも対応
REASON III
詳しくみる
4.
当院で矯正治療をされる方へ、ご自宅でできるホワイトニングを安価にご提供しています
![]()
マウスピース矯正と好相性
![]()
高濃度の過酸化尿素
![]()
装着時間はたった1.5時間
REASON IV
詳しくみる

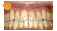
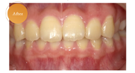
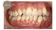
症例1 | デコボコの歯並び
右犬歯を始めとした歯がデコボコになった叢生(そうせい)の矯正。叢生でもここまで矯正が可能です
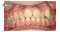
症例2 | デコボコの歯並び
歯が重なり合っていた歯並びを整えた症例です。歯列をきれいに整えることで、自然で整った口元へと改善しました。
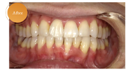
症例3 | デコボコの歯並び
犬歯部を中心に歯の重なりが見られた叢生の症例です。歯列全体のバランスを考慮しながら、整った歯並びへと導きました。
症例4 | 前歯の捻じれ
前歯がねじれてしまっている状態からの矯正症例。前歯を自然な形で正面に向かせられている
症例5 | 歯並びの改善
歯が重なっていた叢生の歯並びを整えた矯正症例です。見た目と機能の両面から改善を図りました。
より良い矯正治療のために
無料相談/セカンドオピニオンを推奨します
矯正治療は保険治療と異なり
高額な治療となります
だからこそ患者さん自身が納得できるよう
当院での無料相談/セカンドオピニオンをお勧めします
Q

当日の予約申し込みは可能ですか?当日の予約申し込みは可能ですか?当日の予約申し込みは可能ですか?
Q

予約なしで直接、受診することは可能ですか?予約なしで直接、受診することは可能ですか?予約なしで直接、受診することは可能ですか?予約なしで直接、受診することは可能ですか?予約なしで直接、受診することは可能ですか?
Q

初診はどれくらい時間がかかりますか?初診はどれくらい時間がかかりますか?初診はどれくらい時間がかかりますか?
Q

治療の姿を人に見られたくないのですが個室はありますか?治療の姿を人に見られたくないのですが個室はありますか?治療の姿を人に見られたくないのですが個室はありますか?
Q

治療の費用が気になります。料金の相談はできますか?治療の費用が気になります。料金の相談はできますか?治療の費用が気になります。料金の相談はできますか?
Q

マイナンバーで受診は可能ですか?マイナンバーで受診は可能ですか?マイナンバーで受診は可能ですか?
マウスピース矯正の流れ
医師による無料相談
マウスピース矯正をお考えのかたは、まずは当院の無料相談をご活用ください。患者さんのお悩みやご希望など丁寧にカウンセリングして、口腔内もチェックさせていただきます。
01
精密検査
マウスピース矯正をお考えのかたは、まずは当院の無料相談をご活用ください。患者さんのお悩みやご希望など丁寧にカウンセリングして、口腔内もチェックさせていただきます。
02
診断・治療計画の説明
検査結果で得た情報、および診察内容をもとに患者さん一人ひとりに適した治療計画を作成いたします。患者さんへご説明して、同意を得られましたら治療の準備へと進みます。
03
矯正装置作製開始
マウスピースなどの準備が整いましたら、患者さんへお渡しして治療開始です。一定期間ごとに決められたマウスピースへ付け替えて、少しずつ歯を動かしていきます。進捗確認のため、2ヶ月に一度はご来院をお願いしております。
04
保定期間
治療計画通りに進みましたら、マウスピース矯正の完了です。治療後は歯並びが戻らないように保定期間を設けており、一定期間はリテーナーを装着いただきます。
05
費用
初回カウンセリング
無料
調整料
0円(※治療料金に含まれます)
遠隔モニタリングアプリ
0円(※治療料金に含まれます)
精密診断料
55,000円(※総額に含まれます)
精密診断料
22,000円(上下1セット)(※総額に含まれます)
スマート
470,000円(税込) 月々4,600円〜
ベーシック
680,000円(税込) 月々6,700円〜
スタンダード
950,000円(税込) 月々9,400円〜
後戻りした歯の再矯正
250,000円(税込)
こどもの矯正 小児 予防矯正
総額 550,000円(税込)
※各プランとも精密診断料、調整料、保定装置を含んだトータルフィー制度です。
※当院で治療後は安心の「5年保証」付き
当院では、現金/クレジットカード/デンタルローンでのお支払いが可能です。
現金
クレジットカード
デンタルローン
矯正歯科治療は他の治療と比較しても高額な治療費が必要となりますので、デンタルローンをご利用いただくことで患者さんの金銭的負担も少なく安心して治療を受けていただくことが可能です。デンタルローンを使用した場合でも医療費控除の対象となりますので、詳しくはスタッフまでご相談ください。

始められます
※初回のお支払いのみ、16,245円(税込)となります。
※治療費550,000円のマウスピース矯正を120回の分割払いで
お支払いいただく場合の例となります。
医療費控除制度について
生計を共にするご家族やご自身の病気やケガなどの事由で医療費の支払いがあった場合、申告によって一定金額の所得控除を受けることが可能です。年間の医療費の合計が10万円を超える場合が適用となります。
注意点・リスク・副作用
・治療の初期段階では痛みや不快感が生じやすくなりますが、1週間前後で慣れます。
・歯の動き方には個人差があるため、予想された治療期間より延長する場合があります。
・装置の使用状況や定期的な通院など、患者さんの協力程度で治療の結果や期間に影響します。
・状況により当初予定した治療計画を変更する可能性があります。
お気軽にお越しください
10:00〜19:00※休診:水曜
LINE予約
WEB予約